PARADONTOLOGIA

MALATTIA PARADONTALE
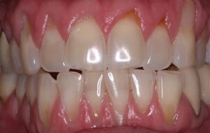
La malattia parodontale è provocata da un’infezione batterica che, associata ad altri fattori (fumo, predisposizione ereditaria, ecc.) danneggia il parodonto, ossia le gengive, l’osso e gli altri tessuti di sostegno dei denti. Essendo spesso indolore, può succedere che ci si accorga della malattia parodontale solo quando gengive e tessuto osseo sono seriamente compromessi: è infatti, una delle causa più frequenti di perdita dei denti negli adulti. Visite di controllo regolari, permettono di fare una diagnosi precoce della malattia parodontale e di mettere in atto adeguate misure di prevenzione e di trattamento.
La placca è una pellicola bianco-giallastra composta da batteri e residui di cibo, che si deposita sulla superficie dei denti, soprattutto vicino alla linea gengivale; se non costantemente rimossa, essa indurisce calcarea ruvida chiamata tartaro, che rende più difficile l’aspotazione quotidiana della placca. I batteri presenti nella placca, producono delle tossine, che possono infiammare le gengive, l’osso e gli altri tessuti che circondano i denti, provocando la malattia paradontale.
TRATTAMENTO
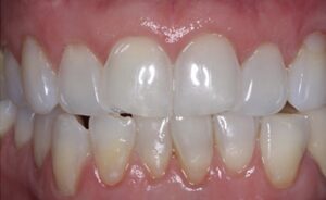
Il trattamento della malattia parodontale dipende dalla sua gravità. Nei primi stadi può essere trattata rimuovendo placca, tartaro e tessuti infiammati dalla superficie dei denti nella zona sottogengivale, all’interno delle tasche parodontali. Questa procedura di pulizia profonda (a volte detta anche curettage), include trattamenti di pulizia sottogengivale o scaling e levigatura radicolare o root planing. Il numero di sedute necessarie per trattare la malattia parodontale, dipende dalla sua estensione e gravità; il trattamento è reso più confortevole da un’anestesia locale.



